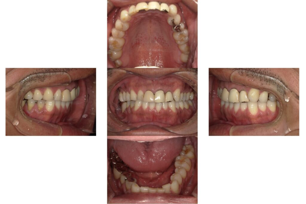
宮若市からお越しの40歳男性 銀歯が取れた、歯ぎしりも気になる。

Before

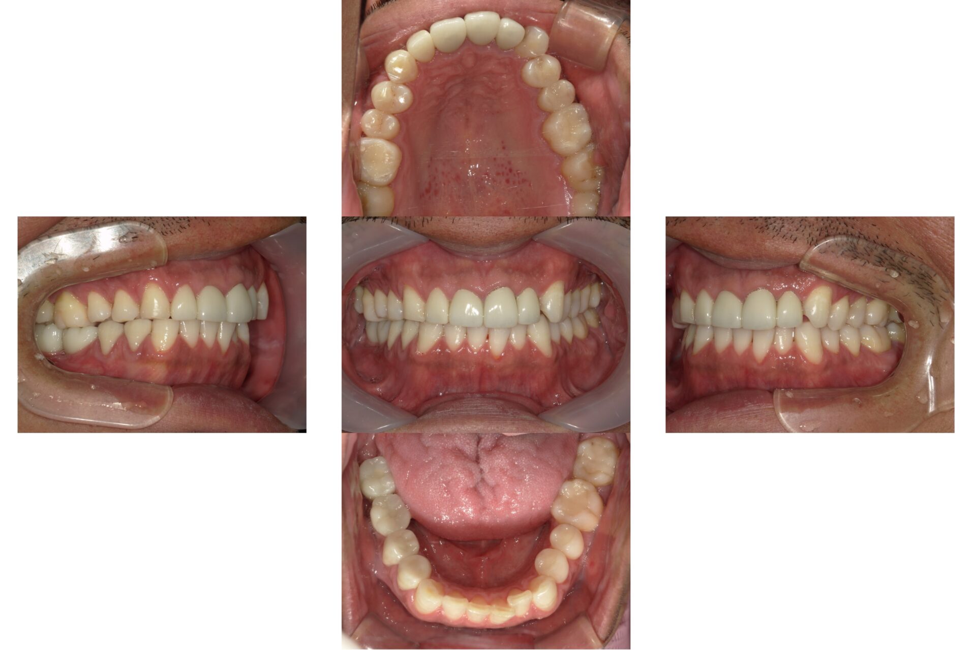
After
| 主訴 | 左下奥歯の銀歯が取れた。歯ぎしりも気になる。 |
|---|---|
| 年齢・性別 | 40歳・男性 |
| 治療内容 | ・審美治療(セラミック、ホワイトニング) ・ボトックス ・インプラント |
| 治療期間 | 14カ月 |
| 治療費用 | ・ジルコニアインレー ¥55,000×8本(税込み) ・ジルコニアクラウン ¥88,000×6本(税込み) ・ホワイトニングプレミアムコース ¥90,000(税込み) ・ボトックス ¥25,000(税込み) ・インプラント2本分総額 ¥561,000(税込み) |
| リスク・副作用 | ・自由診療のため保険不適用 ・強い歯ぎしりや食いしばりにより、破損(割れ)が生じる可能性があります。 ・金属材料を使用する治療と比較し、歯を削る量がやや多くなることがあります。 ・使用状況や咬合状態により、対合歯が摩耗することがあります。 |
| 備考 | 白い被せ物での治療を希望されたため、審美性と耐久性を重視し、補綴物にはジルコニアを使用しました。補綴物の治療前に は、ホワイトニングを行い口元全体の明るさと統一感を整えました。欠損部にはインプラント治療を行い、歯ぎしりや食いしばりもあったためボトックスを実施しました。 |











