インビザライン成人矯正
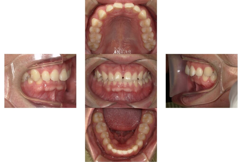
福津市からお越しの24歳女性 歯並びをきれいにしたい

Before

After
| 主訴 | 歯並びをきれいにしたい |
|---|---|
| 年齢・性別 | 24歳・女性 |
| 治療内容 | ① 矯正検査 ② オリジナルマウスピースで矯正治療開始 ↓ 矯正治療終了後 ③ 保定装置(ビベラリテーナー)の装着 |
| 治療期間 | 9ヶ月 |
| 治療費用 | ・インビザラインGo ¥407,000(税込み) ・矯正検査代 ¥38,500(税込み) ・管理料 ¥6,050(税込み) ※月一回のみ ・保定装置 ¥38,500(税込み) |
| リスク・副作用 | ・自費治療のため保険不適応 ・治療中の痛み、歯根吸収、歯髄壊死、歯肉退縮 |
| 備考 | 前歯の歯並びをきれいにしたいということで来院されました。 インビザラインGoにより、ガタガタしていた歯並びを整え、 審美性、機能性の改善を行っています。 |







