目立たない
透明なマウスピースで、
人前でも気づかれにくい矯正。


こっそり整えて、
ふとした瞬間もキレイな私へ
透明だから目立たないインビザライン矯正
Invisalign
Worries
Orthodontic


インビザラインとは、透明で目立ちにくいマウスピース型の矯正装置を用いた新しい矯正方法です。装着していても自然に見えるため、日常生活や仕事の場面でも気づかれにくいのが特長です。
食事や歯みがきの際には取り外せるため、これまで通りのライフスタイルを保ちながら歯並びを整えられます。
世界100カ国以上で提供され、これまでに多くの症例が蓄積されている信頼性の高い治療法として、広く選ばれています。
Features
透明なマウスピースで、
人前でも気づかれにくい矯正。
食事や歯みがきのときに外せて、
普段通りの生活が可能。
薄くてなめらかな素材で、
ワイヤー矯正より違和感が少ない。
世界100カ国以上で導入され、
信頼性の高い治療方法。
子どもから大人まで、
それぞれに合った治療プランを選べる。
マウスピースの交換が中心なので、
忙しい方にも続けやすい。
Difference
![]() インビザライン |
![]() ワイヤー矯正 |
|
|---|---|---|
| 見た目 | 透明で目立たず、自然に笑える | 金属が目立ち、口元の印象に影響 |
| 取り外し | 食事や歯みがきの時に外せて清潔 | 固定されており、食べ物が詰まりやすい |
| 快適さ | 薄くてなめらか、口内炎になりにくい | ワイヤーが当たり、痛みや口内炎の原因に |
| ライフスタイル | 仕事・学校・イベントでも気づかれにくい | 装置が目立ち、人前で気になることも |
| 通院頻度 | 少なめで忙しい方でも続けやすい | 調整のため定期的な通院が必要 |
| 清潔さ | 外して丸洗いできるので衛生的 | 装置のまわりに汚れがたまりやすい |
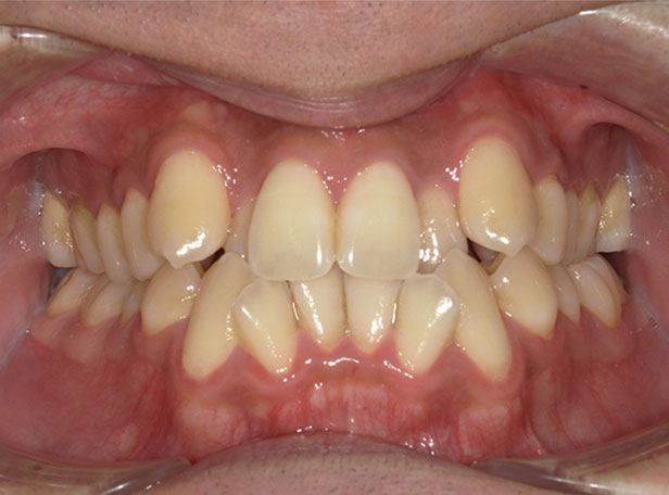
Case
Before
After
| 年齢・性別 | 20代・男性 |
|---|---|
| 治療期間 | 30ヶ月 |
| 治療回数 | 30回 |
| 料金 | 935,000円(税込) |
| リスク |
|
Merit
Smile
インビザラインは透明なマウスピースを使用するため、装着していてもほとんど気づかれません。
仕事や学校、プライベートの場でも口元を気にせず過ごせるので、矯正中でも自信を持って笑顔を見せられます。
hygienic
食事や歯みがきのときに取り外せるため、これまで通りの生活を送りながら矯正を続けられます。
装置に食べ物が詰まりにくく、歯みがきもしやすいため、清潔に保ちやすいのも大きな安心ポイントです。
Reliability
インビザラインは100カ国以上で導入され、数百万件を超える症例が積み重ねられています。
世界中で選ばれている豊富な実績があるからこそ、安心して治療に臨める信頼性の高い矯正方法です。
Precision
当院では、口腔内スキャナー「iTero(アイテロ)」を導入しています。
従来の型取りのような不快感がなく、わずかな時間でお口の状態を3Dデータ化。精密な治療計画につながるだけでなく、シミュレーションで矯正後の歯並びを確認できる安心感も得られます。
Demerit
1日20時間以上の装着が推奨されています。自己管理ができない場合は効果が十分に得られないことがあります。
並びや噛み合わせの状態によっては、ワイヤー矯正など他の治療が適している場合もあります。
新しいマウスピースに替えた直後は、数日間歯に圧迫感を覚える場合があります。
食事のたびにマウスピースを外し、歯みがきをしてから再装着する必要があります。
インビザラインは健康保険が適用されないため、全額自己負担での治療となります。
矯正治療は患者さま一人ひとりの歯の状態によって適した方法が異なります。
治療を始める前には、必ず歯科医師による十分な診査・診断を受けてください。
Let’s Start
インビザラインは
お子さまから50代まで
対応可能
インビザラインは、大人からお子さままで幅広い年代に対応できる矯正方法です。
詳しくはお口の中を拝見させていただいてからとなりますが、年齢を問わず、何歳からでも治療が可能です。
実際に、70代でインビザラインを始める方もいらっしゃいます!
まずはお気軽に無料相談にお越しください。
Together
「自分の歯並びを整えたいけど、子どもの時にできなかった…」という方も少なくありません。当院では、大人向けのインビザラインとお子さま向けのプレオルソやインビザライン・ファーストを導入しているため、兄弟や親子、三世代で同じタイミングに矯正をスタートすることも可能です。
またお子様には、口呼吸や舌の癖などの悪習癖を改善するトレーニングも行います。
お子さまの場合、なかなか装置をつけてくれなかったり、
治療を進めるのに苦労されるケースがありますが、
親子・兄弟で始めることで、お子さまのモチベーションアップにも繋がります。
一緒に頑張ることで、お子さまにとっても続けやすく、親御さまにとっても励みになります。
Reason

歯列矯正は診断力と症例数が重要。
どのような状況にも対応できるよう、学会や勉強会に多数参加し、常に矯正学の見識を深めております。
マウスピース矯正を断られた方もぜひ一度ご相談にお越しください。

特に金銭的負担の軽減に努めておりますが、クオリティーには一切妥協しません。きれいになりたい方が一歩踏み出せるよう患者さんの負担軽減に努めます。

矯正治療の診断をする上で欠かせない、口腔内スキャナー「iTero Lumina」を導入しております。アイテロは、治療前後の歯並びをシミュレーションできます。
型取りは「電動歯ブラシの柄」サイズのスキャナーをお口に入れるだけ。従来の型取りに伴う不快感を感じることはありません。

虫歯が発見された場合、矯正専門歯科であれば他院で処置する必要がありますが、当院では虫歯を含めて全ての処置が可能です。
矯正中の歯のトラブルに迅速に対応できます。
Flow

患者様のお悩みをお伺いしたあと、デジタルスキャナーでお口の中をスキャンします。治療前後のシミュレーション画像をその場でご確認いただきます。

写真撮影やレントゲン撮影などの詳しい検査を行います。検査結果をもとに治療計画や治療ゴールをご説明いたします。

マウスピースを毎日装着していただき、1週間ごとに新しいマウスピースと交換していただきます。

ケースによって使用するマウスピースが前後しますが、20枚のマウスピースを使用したら治療が終了します。(約5~6カ月)
Price
国内の承認医薬品等の有無の明示:国内でもマウスピース型矯正装置(インビザライン) に似た装置があり、国内で薬事承認されているものもあります。日本で医療機器とし て矯正装置と認められるものは、次の2点を満たしたものです。
※日本の国家試験に合格した歯科医師もしくは歯科技工士が製作した矯正装置の場合 は、医療機器ではなく「歯科技工物」に該当します。
Greeting

きらり矯正は、矯正したくても費用や期間で諦めていた方に、「きれいになる一歩を踏み出せるように」「変わるチャンスをつかめるように」低価格での歯列矯正を実現しております。
どのような歯並びでもまずはご相談ください。誠心誠意治療にあたらせていただきます。
院長
松島 耕平
Kohei Matsushima