シーラント🦷✨
こんにちは、副院長の末崎です🍀
寒い日が続いておりますが、来週から少しずつ暖かくなるようですね😊
さて、今回はシーラントについてお話しをします✨
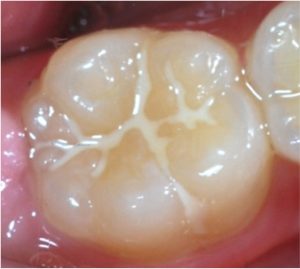
シーラントとは、お子様の虫歯予防の一つで、フッ素配合のレジンという歯科用樹脂で歯の溝を埋めることです。
乳歯や萌出直後の永久歯のエナメル質は幼若なうえに、奥歯の噛む面には溝があり複雑な形態をしているため、虫歯になりやすいのです🙀
歯磨きをしていても、歯の溝の奥に磨き残しがあると、そこから虫歯になってしまうのです🦷👾
そこで、その溝を埋めて浅くすることで虫歯予防をすることをシーラントといいます。
ただし、シーラントは永久的に歯に付いているものではありません。強く噛んだり、歯ぎしりなどで取れてしまうことがありす。
その場合はまた埋めてもらしましょう!!
シーラントは歯を削ることなく虫歯予防ができるので、小さなお子様でも怖がることなく行うことができます🤗🌈
シーラントをしたからと言って、虫歯にならない訳ではないので、毎日の歯磨きはしっかり頑張りましょうね🦷🪥⭐️
